Before & Afters

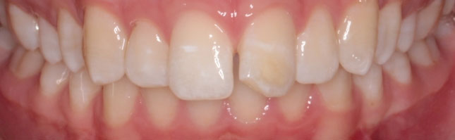
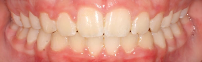
Here are some of the incredible results our patients have achieved with the help of the team at Frankston Orthodontics.

Before & Afters

Slide to reveal the transformation!

Before & Afters
Before & Afters
Before & Afters
Before & Afters
Before & Afters
Before & Afters
Before & Afters
Before & Afters
Before & Afters
Before & Afters
Before & Afters
Before & Afters
Before & Afters
Before & Afters
Before & Afters
Before & Afters
Ready to start your own smile transformation?

Ready to start your own smile transformation?

Book a consultation with our team in Frankston today
to get started.

Book a consultation